Splot ramienny – dostęp podobojczykowy
Wykonując blokadę splotu ramiennego z dostępu podobojczykowego opierając się o punkty anatomiczne użyć możemy co najmniej kilku dostępów (dostęp „Raj’a”, „coracoid”, „vertical”, „latteral sagittal”). W celu lokalizacji splotu z wykorzystaniem ultrasonografii najczęściej wykorzystujemy jednak dwa dostępy, określane w piśmiennictwie anglosaskim jako „Latteral Sagittal InfraClavicular Approach – LSICA” oraz „Vertical InfraClavicular Approach – VICA„.
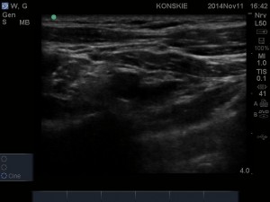
Wykorzystując dostęp LSICA liniową głowicę USG (u osób otyłych lub silnie umięśnionych konieczne będzie użycie głowicy convex) przykładamy w płaszczyźnie strzałkowej, tuż poniżej obojczyka i bezpośrednio przyśrodkowo w stosunku do wyrostka kruczego łopatki. W obrazie USG widzimy dwie warstwy mięśni: powierzchownie mięsień piersiowy większy, poniżej mięsień piersiowy mniejszy. Bezpośrednio poniżej mięśnia piersiowego mniejszego i jego powięzi (hiperechogeniczna linijna struktura) odnajdujemy naczynia pachowe (żyła pachowa, ulegająca kompresji leży zwykle poniżej tętnicy). Najczęściej na głębokości 3-5 cm, możemy rozróżnić trzy hiperechogeniczne pęczki splotu ramiennego ułożone wokół tętnicy pachowej: pęczek boczny, przyśrodkowy i tylny. Ułożenie pęczków względem naczynia jest bardzo zmienne osobniczo (patrz schemat ponizej), lecz najczęściej pęczek boczny leży dogłowowo w stosunku do tętnicy (pomiędzy godziną 9 a 12), pęczek przyśrodkowy doogonowo (pomiedzy 3 a 6 godziną) a pęczek tylny do tyłu od tętnicy ( pomiędzy 6 a 9 godziną). Głębiej w stosunku do struktur naczyniowo-nerwowych możemy uwidocznić opłucną oraz cień żebra. Należy pamiętać, iż poszczególne struktury nerwowe ulegają znacznemu przemieszczeniu podczas odwodzenia znieczulanej kończyny. Odwodząc kończynę pod kątem 90 stopni pęczki zbliżają się do siebie oraz przemieszczają się w stronę dogłowową.
- Dostęp podobojczykowy
- Schemat prezentujący zmienność anatomiczną położenia struktur nerwowych splotu ramiennego w okolicy podobojczykowej (LIF Approach)
Przy wyborze dostępu VICA głowicę USG przykładamy wzdłuż długiej osi obojczyka mniej więcej w połowie jego długości tak aby uwidocznić naczynia pachowe w przekroju poprzecznym (konieczne odwiedzenie kończyny). W przeciwieństwie do poprzedniego dostępu pęczki splotu znajdują blisko siebie oraz zwykle dogłowowo w stosunku do tętnicy pachowej.
- Sonoanatomia splotu ramiennego – dostęp LSICA
- Sonoanatomia splotu ramiennego – dostęp LSICA
- Sonoanatomia splotu ramiennego – costoclavicular approach
- Sonoanatomia splotu ramiennego – dostęp VICA
Przejdź do: Blokada splotu barkowego z dostępu podobojczykowego













